Zahnschmuck

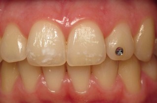
Zahnschmuck ist der Oberbegriff für eine Vielzahl von stark modisch bestimmten Zahnverzierungen wie Twinkles (Brillies), Dazzler und Grills. Das Spektrum reicht vom hauchdünnen Goldplättchen bis hin zu kleinen Brillanten.
Zumeist werden jedoch kleine Glitzersteinchen verwendet, die komplett ohne Bohren auf die Zahnoberfläche - so
ähnlich wie die Brackets in der Kieferorthopädie - geklebt werden. Zu einem späteren Zeitpunkt können diese dann auf Wunsch fachgerecht ohne bleibende Schäden von den Zähnen wieder abgelöst werden.
Die Eingliederung von Zahnschmuck ist eine kosmetische Leistung und unterliegt somit nicht der Gebührenordnung für Zahnärzte (GOZ). Da Schmucksteinchen hauptsächlich von unseren jugendlichen Patientinnen gewünscht werden, bitten wir um vorherige Zustimmung der Eltern.